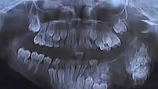
80 dents dans sa machoire

C'est une bouche digne de celle d'un requin...
Publié le 31/12/2014 à 09:45
Temps de lecture : 1 min
80 dents dans sa machoire

Il y a quelques jours, un petit indien de 7 ans s'est fait retirer pas moins de 80 dents au cours d'une opération.

Au départ, le jeune patient s'était rendu à l'hôpital suite à un abcès à la mâchoire supérieure. Mais après des examens plus poussés, les résultats ont révélé que l'enfant souffrait d'une tumeur bénigne. Les médecins l'ont donc opéré pendant près de 4 heures, avant de lui retirer 80 dents !

Le personnel soignant explique que s'il était venu les voir dans quatre ans, il aurait probablement eu plus de 200 dents.